Foot of Clay
Continued Adventures of My Left Foot
I thought I was going to be over my foot fracture a lot faster than normal because (1) I am a sterling example of a prime, fit and healthy human and 'things' just don't effect me the way they do normal mortals, plus (2) It had already been 8 weeks and we 'all know' that bone heals in 6 weeks.
So there really wasn't any reason my foot should be hurting me while I was walking around in its attractive and functional walking boot that I had furiously styled in my own quiet way to match whatever else I was wearing. There also was no logical reason that when those few times I put my foot into a regular shoe and made an attempt to walk like a normal human mortal that said foot should give me a strange crystaline, electrical sensation that reminded me of the time I stuck my hand too close to a wasp nest (they didn't sting me, but the entire nest vibrated their wings in unison at me, an event guaranteed to speak directly to your hind brain where your survival instincts live).
Second Visit
Thus, wanting verification of my 'robust healing' before I began using regular shoes again I returned to the doctor that diagnosed my 5th metatarsal fracture the week after I had 'done' it (after having hobbled around on my broken foot for seven days).
This second visit it seemed she was quite frankly skeptical of me. When I explained my 'still hurts' symptoms to her and explained I wanted some hard evidence of healing before I began to 'tough love' my foot she looked a bit put out. I am not sure exactly why she seemed reluctant to do another xray but there definitely was a 'you are just being a baby about this' feeling in the air. What do I know, perhaps there are droves of people addicted to unnecessary xrays.
Her: "Fractures usually are well healed after 6 weeks."
Me: Nodding vigrously.
Her: "It has been...", looks through the chart, "...8 weeks since your incident?"
Me: "Yes"
Her: "Did you see an orthopedist like I suggested?"
Me: (somewhat sheepishly) "Well, no, it didn't seem to be a problem." (more earnestly) "I stayed off it for two weeks like you suggested and I have been wearing a walking boot ever since."
Her: Silence.
I have that effect on doctors. I like to 'doctor' myself, so I don't always 'comply' with thier wishes and then we have these little 'power struggles' when they find out how non-compliant I am. She looked a little more miffed but reluctantly agreed to do another xray.
I had to wait a lot longer for her to return with the xray results than on my first visit. I figured the extra time was her putting me in 'time out' for not doing everything she asked me to do after the first visit.
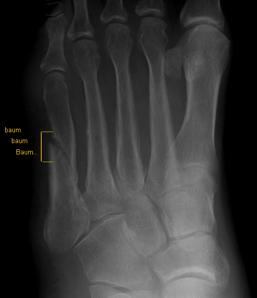
When she returned to the room her tone had changed and she was all concerned about me again when she showed me the images. "Here is where your fracture is still active," she said "and in fact this one area looks perhaps a little worse than the first image".
As I was viewing the image over her shoulder I could definitely see what she was talking about and felt a sinking feeling come over me. Not only was this not evidence of a superior healing, it was a sign of (baum, baum, Baum... (hopefully you recognize this as that dramatic music sound effect from various crime dramas of the 50s)) Delayed Healing.
(The diagnosis kind of ruined the victorious feeling I wanted to have over the whole 'see there, I DID need an xray'.)
The Specialist
I left her office with her adamant recommendation of me getting an orthopedic surgeons opinion ringing in my ears. She also gave me a list of almost a dozen of them and I, being the shopper that I am, researched them all on the internet and eliminated most for reasons ranging from 'awful reviews' to 'works only on hands'. I finally picked one and went in for the exam.
They insisted on doing another x-ray even though only a week had passed and I was sure you could still geiger counter the lingering radiation from my foot, but hey, perhaps I would develop a super power or something. I asked the xray technician about super powers but he was skeptical.
When the orthopedist came into my exam room after the required long wait that apparently is part of the whole 'healing process', he was a sharp looking, well spoken, succinctly worded specimen of a surgeon who quickly told me how wrong, wrong, wrong I had been. It turns out that any other metatarsal fracture would have been thrilled to have been treated with the two weeks of no weight bearing and a lovely and attractive walking boot.
I however had a (baum, baum, Baum...) MID-SHAFT - 5th metatarsal fracture. He paused dramatically after saying this. He said these type of fractures are the slowest to heal due to (long list of reasons) and basically went on to outline that I would be lucky to have this all over with by 6 months or more. He also said that x rays were not the best evidence of healing (so why did I have another one???) and after squeezing my foot and watching me flinch he said I would not be feeling that kind of pain if my bone was ready for weight bearing. (I personally was certain I would not be feeling that kind of pain if someone had not squeezed my foot, but apparently this too was part of the whole 'healing process'.)
He then told me the worst news. "No weight bearing for 3 weeks and then we will see."
So I left the office with an appointment in 3 weeks walking in my forbidden walking boot on my 'still broken mid-shaft 5th metatarsal fracture' back to my car. My car which was parked about a block away.
Let me say, this whole ordeal has been a bit off-putting for various reasons, not the least of which has been each and every time I have been obviously afflicted by a foot injury that makes walking a chore and possibly dangerous to my 'slow to heal' bone - not a single time has anyone offered me a temporary handicapped tag.
Each and every time I have been totally overwhelmed by the very ordeal of the doctor visit to the point I don't think to ask "may I please have a handicap parking permit" until I am already home for a day or two. The orthopedist offered to give me a prescription for a knee roller cart, which thank you, I already had access to one, but did he say "and let's be sure to get you a handicapped parking permit". Nope. (yes, I could theoretically call one of these offices and I am sure I could get the ball rolling for one, but I am just that much a rebel I will not go out of my way to ask for one - even though I would have gratefully accepted one had it been offered.)
Dreaded Encounter
So there I was back at home and assigned no weight bearing for my still broken foot. Okay, the diagnosis did not specifically state that I was an inferior human who was slow to heal so I had that going for me. At least my ordeal was tempered by the fact that I had spectacularly fractured my 5th metatarsal in the absolutely worst place possible. That at least was a buoy to my flagging spirits. I mean if you are going to break yourself at least have some distinction to it. No mere proximal shaft, stress fracture or Jones fracture for me - nope, mid-shaft for the win, or in this case loss.
The worst things though as I sagged onto my bed, were peeking out at me from the corner I had banished them to. The dreaded CRUTCHES (baum, baum, BAUM...). Oh how I loathe the crutches. My previous two weeks with them had taught me that the only thing worse than having one foot was using crutches which gave me one foot and no arms and a painful neck.
Crutches fail on so many levels. Yes, you can propel yourself forward on them and not put weight on your broken foot. You cannot however do this without bearing all your body weight onto your hands. You also are prone to losing your balance. Crutch walking by its nature is a hectic and graceless ordeal. It is hot. It is tiresome. It makes you sweat. There is no way to look cool while doing it. People are kind and will open doors for you, but they also give you a 'sucks to be you' look while furiously not making eye contact.
Yet, here I was having erroneously gone forward in my self-determined treatment plan only to be shoved backward to start over again. I was furious and looking for a way out. Thankfully there was a glimmer of hope in something I had spied on the internet when looking for my walking boot. It was a walking system that used a single crutch like device modified to fit on the wearer's lower leg. In other words it was a modern day peg leg, a prosthesis, an 'I don't have to use crutches' miracle.
It was the iWalk 2.0 (baum, baum, Baum...).
Life gives us opportunities.
This is part 3 of a series of articles I have written in my adventure of living with a broken foot. If you would like to explore more on this topic, please check out my other articles: Part 1: The Shoe is on the Other Foot, Part 2: Two is Better than One, and Part 4: I walk... like a pirate.
.
Would you like to have a yoga mat that meets your individual needs? The modern world of yoga mats is filled with a multitude of choices. This review will quickly and easily guide you through the important differences...
Do your wrists bother you in some yoga poses? You are not alone. Learn how to avoid this common complaint and how to increase your wrist strength and comfort...
Increasing the protein in your diet can allow you to achieve greater strength gains and enhance your recovery from exercise. Protein powders are a great way to bring in extra protein without a lot of extra calories. Learn the differences between the many types...
Hoodies and yoga go great together...
This little gadget does wonders for the hand...
| Sign up for Jbyrd Yoga News and Events |
Upcoming Seminars
with Julie
Saturday's 1 - 2pm
Free - Deep Breathing Workshop
Register for Zoom Workshop
Live-stream Classes Online
Core Conditioning
Wednesdays 12:30pm
Intermediate Yoga
Thursdays 1pm
Workout With Julie
Friday 11am
All Level Yoga
Saturday 10am
My Instagram
Just got the peppers in their pots.
Latest Articles
- Growing a Container Herb Garden
There is nothing better than fresh herbs from your garden. They are useful for cooking, they smell heavenly and they look so beautiful... Mar 25, 2019
- Getting the Most Out of Fermented Foods
Sometime in the last 150 years we went from a culture that had a rich history of fermenting foods and became a culture that is obsessed with clean, sterile environments... Feb 10, 2019
Great ideas for yoga gifts...
Heart Rate Monitor Review...
Read this review of ergonomic sitting solutions...
Society 6
Jbyrd Yoga Collection
Yoga inspired artwork on tshirts, leggings, tote bags and more...
Organic gardening adventures...
Tales inspired by little furry tails...














